Supreme Dental Hospital - An Advanced Center For Implant & Cosmetic Dentistry - Root Canal Treatment, Dental Extraction, Wisdom Tooth Removal, Scaling & Polishing, Dental Implants, Crown & Bridges, Tooth Fillings, Full Mouth Rehabilitation, Orthodontic Treatment, Gum Treatment, Smile Design & Cosmetic Dentistry. Consult - +91-7665141896, Book Appointment: chaturvedikeyur@gmail.com

Mon - Sat: 09:00 AM - 08:00 PM,

Sun: 10:00 AM - 01:00 PM

61/15, Main Rajat Path

Mansarovar, Jaipur

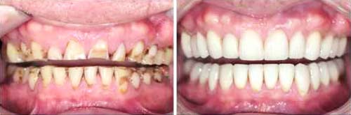
Full Mouth Rehabilitation

full mouth rehabilitation dental clinic in mansarovar Jaipur

As the name indicates, Full mouth rehabilitation relates to reconstructing a complete set of teeth. It restores the patient's dental health to its optimal condition. It improves the appearance of the teeth, with a confident smile. It is also known as full-mouth restoration, which combines many dental specializations and helps to solve a variety of infirmities, such as improper bite, chipped, cracked, or completely damaged teeth.

A Motive of the full mouth rehabilitation plan is to optimize the health of the entire mouth, including teeth, gums, and bite. Patients with missing, uneven, broken, or damaged teeth who experience difficulty in speaking and chewing and living with a compromised smile may benefit from this treatment.


Who Needs a Full Mouth Rehabilitation (Reconstruction)
  • When multiple teeth are missing due to decay or trauma
  • Short, critically worn teeth that are chipped, broken, or severely decayed teeth due to bruxism(teeth grinding)
  • Constant difficulty in chewing and biting food
Full Mouth Rehabilitation at Supreme Dental Hospital

At Supreme Dental Hospital, we first collect all information about your case. The examination process in full mouth rehabilitation needs X-rays and photographs, models of upper and lower teeth. After examination, we will develop a comprehensive, step-by-step treatment plan for the patient. We may recommend a sequence of dental procedures for your full mouth rehabilitation, which will provide "smile makeover" and improved chewing efficiency.

Some of them include:

  • Initial scaling and polishing of teeth
  • Extraction of severely damaged tooth
  • Root canal treatment
  • Crown lengthening to expose healthy, sound natural tooth structure for placement of crowns or bridges
  • Dental implants, crowns, bridges, onlays or dentures

Full mouth Rehabilitation combines esthetics with the science of restorative dentistry to enhance the dental health, function, and beauty of the mouth. Dr. Keyur Chaturvedi is one of the best dentists in Mansarovar Nagar Jaipur; he has expertise in quality dental treatment and surgical procedures to recreate your beautiful smile and improves the chewing ability (same as natural teeth).

For any query feel free to Get in touch with us!

Call Now Book an Appointment